English
全部
搜索
图片
视频
短视频
地图
资讯
更多
购物
航班
旅游
笔记本
报告不当内容
请选择下列任一选项。
无关
低俗内容
成人
儿童性侵犯
时长
全部
短(小于 5 分钟)
中(5-20 分钟)
长(大于 20 分钟)
日期
全部
过去 24 小时
过去一周
过去一个月
去年
清晰度
全部
低于 360p
360p 或更高
480p 或更高
720p 或更高
1080p 或更高
源
全部
Dailymotion
Vimeo
Metacafe
Hulu
VEVO
Myspace
MTV
CBS
Fox
CNN
MSN
价格
全部
免费
付费
清除筛选条件
安全搜索:
中等
严格
中等(默认)
关闭
筛选器
0:07
Adobe
MAYER
Light bulb sign icon on black background. Neon electric bulb icon animation.
Download Light bulb sign icon on black background. Neon electric bulb icon animation. Stock Video and explore similar videos at Adobe Stock.
1 个月前
How to Change a Light Bulb
How to Replace a Halogen Light Bulb | DoItYourself.com
doityourself.com
2010年2月18日
1:06
How To: Change a spotlight bulb
YouTube
Simple Life Homes
已浏览 4万 次
2021年7月16日
Changing a Light Bulb: DIY Tips and Tricks
TikTok
ericoangel123
已浏览 190万 次
2022年10月9日
热门视频
0:04
Watch how to sign 'light bulb' in American Sign Language.
signasl.org
2014年12月21日
The 'Lightbulb Sign' doesn't always mean a posterior dislocation
resus.com.au
2019年2月18日
[Hot Item] LED Bulb Letters Sign Free Standing Bulb Letter Advertising Signs
made-in-china.com
1 周前
LED Vs CFL Bulbs
LED vs. CFL Bulbs: Which Is More Energy-Efficient?
constellation.com
2024年4月5日
1:49
CFLs vs. LEDs vs. Incandescents
Consumer Reports Video
2016年6月5日
5:44
LED Vs CFL Bulbs | Meaning and Difference
YouTube
Key Differences
已浏览 6879 次
2023年12月7日
0:04
Watch how to sign 'light bulb' in American Sign Language.
2014年12月21日
signasl.org
The 'Lightbulb Sign' doesn't always mean a posterior dislocation
2019年2月18日
resus.com.au
[Hot Item] LED Bulb Letters Sign Free Standing Bulb Letter Adverti
…
1 周前
made-in-china.com
0:14
Rustic Metal LED Bulb Letter Sign: Carnival Circus Light - Etsy
2022年12月29日
etsy.com
Types of Light Bulbs
2019年1月18日
HOMEDEPOT
2:57
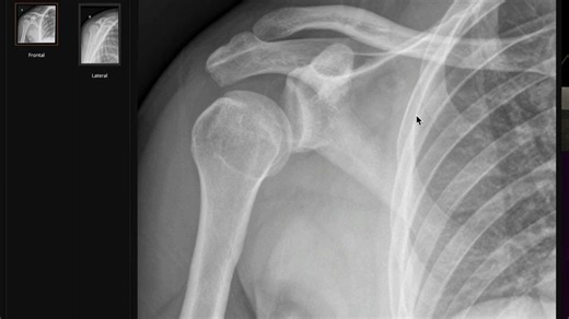
6、肩关节后脱位影像教学〖Radiology Channel〗双语精校
已浏览 128 次
1 周前
bilibili
小万中英字幕组
5:58
Will laser blasters ever be possible? - Christopher Baird
已浏览 12.9万 次
2 周前
YouTube
TED-Ed
0:21
Vintage style light bulb sign💡Use the storefront to enhance the atmosp
…
已浏览 58 次
2 个月之前
YouTube
HC SIGN
0:05
mymedicos - India’s medicos community platform on Instagram
…
已浏览 1.8万 次
1 个月前
Instagram
mymedicos_official
💡 Marquee Lights & Light Bulb Letters | How To Design Vintage Li
…
已浏览 6356 次
2018年6月14日
YouTube
PSDDude
0:04
LIGHT
已浏览 1.2万 次
2015年5月26日
YouTube
Signs
5:21
Fluorescent to LED Conversion
已浏览 85.9万 次
2018年11月10日
YouTube
Soat Mon
1:31
Thomas Edison's Light Bulb
已浏览 23.7万 次
2014年10月7日
YouTube
Kean University
1:39
Exit & Emergency Signs
已浏览 9588 次
2020年3月3日
YouTube
Bulbs.com
1:40
BMW MINI DASHBOARD WARNING LIGHTS EXPLAINED
已浏览 5.3万 次
2019年9月12日
YouTube
Lens Life Automotive
7:30
How to Change Long Light Bulbs | T12 Fluorescent Light Bulbs
已浏览 85.7万 次
2021年4月2日
YouTube
Everyday Home Repairs
1:14
How a light bulb works
已浏览 53.7万 次
2006年11月18日
YouTube
Brian Taylor
11:23
How To Make Signage: Standard Lightbox
已浏览 6.2万 次
2019年11月14日
YouTube
Maneki Signage Pte Ltd
1:28
Decorative Light Bulb - Size & Codes | Spec. Sense
已浏览 3.3万 次
2020年6月18日
YouTube
AMRE Supply
8:23
How to make an Acrylic Light Logo | DIY
已浏览 10万 次
2020年12月19日
YouTube
We Petrolheads
0:59
LED-R Standard LED Exit Sign - The Exit Light Co.
已浏览 2.2万 次
2019年7月8日
YouTube
The Exit Light Company
1:05
ELSM-R Edge Lit Exit Sign
已浏览 3.4万 次
2018年9月24日
YouTube
The Exit Light Company
2:17
How a Fluorescent Light Works - Schematic Animation
已浏览 121.4万 次
2012年2月9日
YouTube
Edison Tech Center
1:20
Standard Light Bulb - Size & Codes | Spec. Sense
已浏览 7.7万 次
2020年7月5日
YouTube
AMRE Supply
2:13
Miniature Light Bulb - Size & Codes | Spec. Sense
已浏览 1.4万 次
2020年6月11日
YouTube
AMRE Supply
12:00
Replace Emergency Exit Signs and Lights
已浏览 3.5万 次
2020年12月17日
YouTube
Sky Management
22:56
How To Make a Neon Sign
已浏览 52.3万 次
2021年3月29日
YouTube
Spectron LED
1:56
Ask History: Who Really Invented the Light Bulb? | History
已浏览 35.3万 次
2013年12月6日
YouTube
HISTORY
3:23
How to Install a Fluorescent Light 💡 | 3 Min Tutorial
已浏览 21万 次
2019年6月19日
YouTube
Kelly Concepts
观看更多视频
更多类似内容
反馈